Como Saber se Você Realmente Precisa de Aparelho Ortodôntico: O Guia Técnico e Definitivo

A decisão de iniciar um tratamento ortodôntico não é estética — é estrutural. Na prática clínica, eu vejo diariamente pacientes que chegam por “dentes tortos” e descobrem problemas funcionais silenciosos que já estão degradando a saúde bucal há anos.
Ortodontia moderna é biomecânica aplicada ao corpo humano. Quando os dentes estão fora de posição, todo o sistema — músculos, ossos e articulação — compensa. E compensação contínua sempre cobra um preço.
Sinais de que você precisa usar aparelho
Se há dificuldade de higienização, dor, desgaste ou instabilidade na mordida, você provavelmente precisa de intervenção ortodôntica — mesmo que o sorriso pareça “aceitável”.
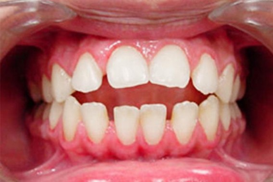
Apinhamento dentário
Não é só estética. Dente sobreposto cria zonas inacessíveis para escova e fio.
O que quase ninguém fala:
Mesmo pacientes disciplinados com higiene não conseguem limpar áreas com sobreposição severa. Resultado: inflamação crônica invisível.
Consequência real:
- Periodontite precoce
- Mau hálito persistente
- Perda óssea ao longo dos anos
Diastemas (espaços entre dentes)
Espaço entre dentes parece “inofensivo”, mas muitas vezes indica desequilíbrio oclusal.
Erro comum: tratar apenas com resina estética sem corrigir a causa.
Isso mascara o problema e pode gerar recidiva.
Impacto funcional:
- Instabilidade na mastigação
- Trauma gengival por impacto alimentar
- Alteração na fala em alguns casos
Dores na mandíbula, estalos e cefaleia
Se você acorda com dor de cabeça ou sente estalos ao abrir a boca, isso já é um alerta.

Diagnóstico clínico direto:
Má oclusão frequentemente leva à sobrecarga muscular.
O que observo na prática:
- Pacientes tratam enxaqueca por anos sem investigar a mordida
- Bruxismo piora quando a oclusão está desequilibrada
- Desgaste irregular dos dentes
Dentes não deveriam desgastar de forma assimétrica.
Se isso está acontecendo:
há distribuição errada de forças mastigatórias.
Sinal técnico importante:
- Bordas incisais retas ou “afinadas”
- Transparência no esmalte
- Microfraturas
Isso é progressivo e irreversível sem intervenção.
Tipos de mordida que exigem correção ortodôntica
Mordidas incorretas não se estabilizam sozinhas. Pelo contrário — tendem a piorar com o tempo.

Mordida cruzada
Dentes superiores fecham por dentro dos inferiores.
Gravidade: alta
Por quê: pode alterar crescimento ósseo e gerar assimetria facial.
Mordida aberta
Os dentes não se encostam ao morder.
Impacto direto:
- Dificuldade na mastigação
- Alteração na fala
- Respiração bucal associada em muitos casos
Sobremordida profunda
Dentes superiores cobrem excessivamente os inferiores.
Complicação ignorada:
- Trauma no céu da boca
- Desgaste acelerado dos incisivos inferiores
- Prognatismo / Retrognatismo
Desequilíbrio entre maxila e mandíbula.
Aqui entra algo mais sério:
não é só dentário — é esquelético.
Consequências:
- Alteração do perfil facial
- Possível relação com apneia do sono
- Impacto funcional e estético significativo
Ortodontia digital: precisão real
Sem planejamento digital, o tratamento é menos previsível e mais demorado. Isso não é opinião — é prática clínica.

Escaneamento intraoral
Substitui moldes físicos e elimina distorções.
Na prática:
- Captura milimétrica
- Sem desconforto
- Base para planejamento preciso
Simulação de resultado
Você vê o resultado antes de começar.
Isso muda tudo:
- Expectativa alinhada
- Melhor adesão ao tratamento
- Redução de retrabalho
Planejamento biomecânico
Movimento dentário não é tentativa e erro.
Com software adequado:
- Força aplicada com controle
- Menor risco de reabsorção radicular
- Redução real do tempo de tratamento
Qual tipo de aparelho faz mais sentido?
Não existe “o melhor aparelho”. Existe o mais adequado para o seu caso clínico.
Comparação técnica
| Tecnologia | Estética | Conforto | Indicação |
| Alinhadores invisíveis | Excelente | Alto | Casos leves a complexos |
| Autoligado | Média | Médio | Eficiência mecânica |
| Fixo estético | Boa | Moderado | Custo-benefício |
| Preventivo (infantil) | Variável | Adaptado | Crescimento ósseo |
Opinião baseada em experiência:
Alinhadores são excelentes — mas não resolvem tudo. Casos mais complexos ainda dependem de mecânica fixa bem conduzida.
Dados reais que importam
Má oclusão é regra, não exceção.
- Mais de 80% dos adolescentes apresentam algum grau de desalinhamento
- Crescimento expressivo em adultos (principalmente por estética e funcionalidade)
- Falta de tratamento leva a custos maiores no futuro
O erro mais caro: esperar dor para agir.
FAQ — Perguntas que surgem no consultório
O aparelho muda o rosto?
Sim. Corrigir a base óssea e a mordida melhora suporte labial e perfil facial.
Existe idade limite?
Não. Já tratei pacientes acima de 70 anos com bons resultados.
Condição obrigatória: saúde periodontal estável.
Alinhador é mais rápido?
Em muitos casos, sim — quando bem planejado.
Mas: disciplina do paciente é determinante.
Aparelho resolve dor de cabeça?
Se a causa for muscular/oclusal, pode reduzir ou eliminar.
O que diferencia um diagnóstico sério de um superficial
Sem análise estrutural completa, o diagnóstico é incompleto.
Um bom diagnóstico avalia:
- Oclusão
- Estrutura óssea
- Função muscular
- Hábitos (respiração, deglutição)
Conclusão: ignorar agora custa caro depois
Problemas ortodônticos não desaparecem. Eles evoluem.
O que começa como desalinhamento leve pode terminar em:
- Perda dentária
- Implantes
- Tratamentos complexos e caros
A decisão inteligente não é “quando dói”.
É quando você identifica os sinais.
O Momento de Agir é Agora
Ignorar sinais de má oclusão pode levar a gastos muito maiores no futuro com implantes, próteses e tratamentos de canal devido ao desgaste excessivo e à perda dentária. A prevenção e a correção oportuna são os melhores investimentos que você pode fazer na sua longevidade funcional.
Você suspeita que precisa de aparelho? Não tome decisões baseadas em suposições. O próximo passo para o seu novo sorriso começa com uma análise técnica detalhada.
Clique aqui e agende sua avaliação digital na Clínica Ortho3D
Aviso Legal: O conteúdo publicado neste site tem caráter puramente informativo e educacional, não substituindo, em hipótese alguma, a consulta, o diagnóstico ou o tratamento realizado por um profissional de saúde qualificado. As tecnologias 3D mencionadas são ferramentas auxiliares e os resultados podem variar conforme cada caso clínico. Sempre consulte seu dentista de confiança para orientações específicas sobre sua saúde bucal.
